Noticias sobre fertilidad
Ha superado el cancér y ha sido padre después de haber congelado el semen durante 13 años
Gabriel Petrucelli sufrió un tumor testicular en 1999. Antes de comenzar quimio, decidió criopreservar su semen. Tuvo mellizas.
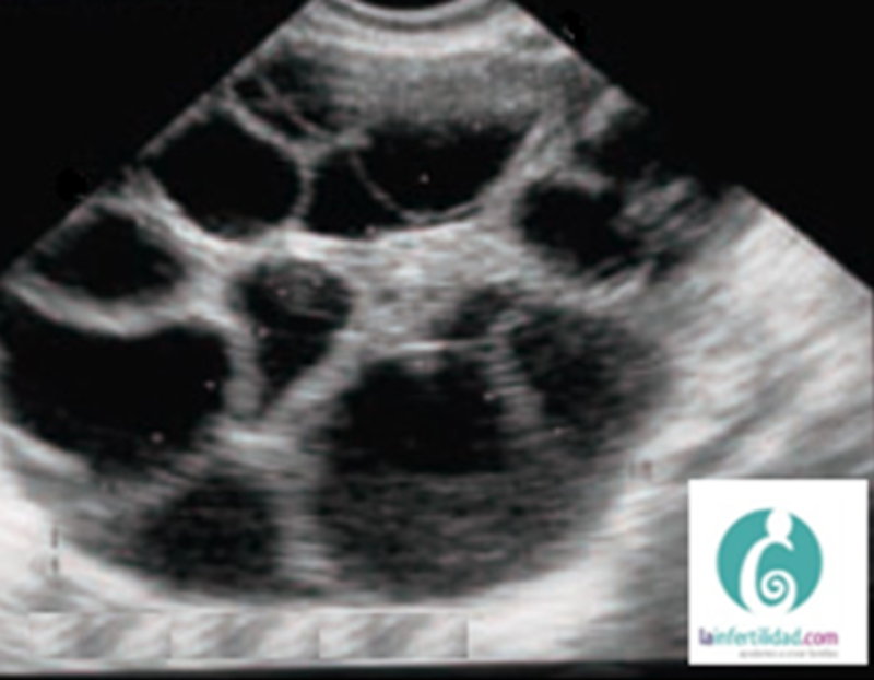
La ovulación
De manera habitual las mujeres producen la ovulación de un ovocito al mes. Cuando existe algún problema de fertilidad y la pareja acude al centro de reproducción unos de los procedimientos a seguir es la estimulación ovárica.
El tabú de la infertilidad lo mostró Federico García Lorca hace 80 años en una obra
La Casa Natal de Fuente Vaqueros acogió ayer el '5 a las 5', que premió a Tico Medina con el Pozo de Plata y contó con la inauguración de una muestra sobre la obra que el autor granadino estrenó en 1934
La dulce y amarga Beta espera
Durante el ciclo menstrual se van produciendo diferentes cambios hormonales que se traducen en el cambio estructural del endometrio.
